Mesothelioma Misdiagnosis
Mesothelioma misdiagnosis occurs when a doctor mistakes mesothelioma for a different, less serious condition. Misdiagnosis of mesothelioma is common because the symptoms of the cancer often resemble other conditions such as a cold or the flu. A second opinion is recommended.
Exclusive Content
Dr. Andrea Wolf: Why is mesothelioma often misdiagnosed?
It is often delayed, in fact. The patients will often present with somewhat non-specific symptoms such as chest pain or shortness of breath or even a cough, and they are found to have fluid outside of the lung but inside of the rib cage. And there are several processes that can cause this, and early on, the first steps to evaluate that are just draining that fluid out and sending it for sampling.
Unfortunately, the sensitivity of tests of that fluid to diagnose mesothelioma is not great, and so the diagnosis is frequently missed. So people will undergo repeated drainage of fluid and not get a diagnosis of cancer at all. Or if they are diagnosed with cancer, unfortunately there are some unique aspects to mesothelioma at a microscopic level that requires some expertise on the part of the pathologist or the person called a cytopathologist, who looks at cells, to evaluate.
In fact, with mesothelioma, it's often required that some tissue be evaluated, and that has a higher accuracy rate than just the fluid itself. And it really does require experience on the parts of the clinicians, a high index of suspicion on the part of the clinician evaluating the patient, and some expertise among the team--
the pathologists and cytopathologists who are looking at those samples.
Exclusive Content
Dr. Andrea Wolf: Why is mesothelioma often misdiagnosed?
It is often delayed, in fact. The patients will often present with somewhat non-specific symptoms such as chest pain or shortness of breath or even a cough, and they are found to have fluid outside of the lung but inside of the rib cage. And there are several processes that can cause this, and early on, the first steps to evaluate that are just draining that fluid out and sending it for sampling.
Unfortunately, the sensitivity of tests of that fluid to diagnose mesothelioma is not great, and so the diagnosis is frequently missed. So people will undergo repeated drainage of fluid and not get a diagnosis of cancer at all. Or if they are diagnosed with cancer, unfortunately there are some unique aspects to mesothelioma at a microscopic level that requires some expertise on the part of the pathologist or the person called a cytopathologist, who looks at cells, to evaluate.
In fact, with mesothelioma, it's often required that some tissue be evaluated, and that has a higher accuracy rate than just the fluid itself. And it really does require experience on the parts of the clinicians, a high index of suspicion on the part of the clinician evaluating the patient, and some expertise among the team--
the pathologists and cytopathologists who are looking at those samples.
Why Is Mesothelioma Misdiagnosed?
Malignant mesothelioma is often misdiagnosed because its symptoms aren’t specific to this rare cancer. Nonspecific symptoms like shortness of breath, chest pain and abdominal pain make it difficult for doctors to accurately diagnose mesothelioma early. If doctors don’t know a patient was exposed to asbestos, they may misdiagnose it.
An accurate mesothelioma diagnosis is challenging and most doctors have limited experience with this rare cancer. Fewer than 3,000 new mesothelioma cases are reported each year. Doctors tend to suspect more common conditions first.
Learn about your diagnosis, top doctors and how to pay for treatment in our free mesothelioma guide.
Get Your GuideAn accurate diagnosis of malignant mesothelioma requires a pathologist or cytopathologist, doctors who look at tissue and cell samples under a microscope to check for signs of cancer. It’s important these experts have experience with mesothelioma. They study samples taken from a biopsy.
Mesothelioma misdiagnosis happens because the diagnosis of mesothelioma is actually quite challenging. There are some unique aspects to mesothelioma at a microscopic level that require expertise on the part of the pathologist or cytopathologist to evaluate. It really does require experience on the part of the clinician and the team.
Common Misdiagnoses of Pleural Mesothelioma
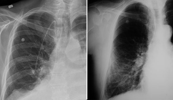
Pleural mesothelioma, which develops in the lining of the lungs, is often mistaken for other more common respiratory conditions like emphysema and pneumonia. People with mesothelioma may initially show shortness of breath, a dry cough or chest pain, making it difficult to distinguish it from other respiratory conditions at first.
Pleural mesothelioma can also cause pleural effusion, which is a buildup of fluid around the lungs, and difficulty breathing. Other chronic lung diseases, infections and lung cancer can all show similar symptoms. These may complicate the diagnostic process and lead to a misdiagnosis of mesothelioma.
Common Pleural Mesothelioma Misdiagnoses
- Adenocarcinoma (glandular tissue cancer)
- Chronic obstructive pulmonary disease (COPD)
- Emphysema
- Influenza (flu)
- Lung cancer
- Pneumonia
- Recurrent pleural effusion
The Journal of Thoracic Oncology published a 2023 study about mesothelioma misdiagnoses. It showed 14% of mesothelioma diagnoses in rich countries are incorrect. In developing countries, this misdiagnosis rate rises to approximately 50%.
About 33% of women with pleural mesothelioma were misdiagnosed with ovarian cancer. Pleural mesothelioma can raise cancer antigen 125. The antigen is a blood protein linked to ovarian cancer. The vague symptoms make it easy for doctors to suspect other common conditions at first.
We make getting expert care from the nation’s top mesothelioma specialists easy.
Find My SpecialistCommon Misdiagnoses of Peritoneal Mesothelioma
Peritoneal mesothelioma, which forms in the lining around the abdominal organs, is often mistaken for irritable bowel syndrome, gallstones and other cancers. Abdominal pain and digestive issues resemble many other common conditions, complicating the early and accurate diagnosis of peritoneal mesothelioma.
Peritoneal Mesothelioma Misdiagnoses
- Gallstones
- Hernia
- Irritable bowel syndrome
- Other abdominal cancers
- Ovarian cancer
BMC Gastroenterology published a study in 2021 about a man with previous asbestos exposure. He had a rare case of benign multicystic peritoneal mesothelioma, but was first misdiagnosed with hydatid cysts in the liver and abdomen. He experienced abdominal pain and bloating and imaging scans showed many cysts filled with clear fluid. When the patient didn’t respond to the treatment, his doctors did further tests.
Find a specialist if you’ve been exposed to asbestos and have mesothelioma symptoms. If they confirm a peritoneal mesothelioma diagnosis, they’ll create a treatment plan.
Common Misdiagnoses of Pericardial Mesothelioma
Pericardial mesothelioma, which affects the pericardium or sac surrounding the heart, is commonly mistaken for heart disease and heart failure. This type of mesothelioma is very rare and shares symptoms with more common conditions. It often causes pericardial effusion, which is a buildup of fluid around the heart. It may cause chest pain and other heart symptoms. This makes it hard to diagnose early.
Pericardial Mesothelioma Misdiagnoses
- Angiosarcoma
- Cardiac tamponade
- Cardiomyopathy
- Congestive heart failure
- Constrictive pericarditis
- Coronary artery disease
- Heart disease
- Intra-atrial myxoma
- Metastatic lung cancer
- Tuberculous pericarditis
A 2023 case report described a woman with pericardial calcification. It’s a condition in which calcium deposits form in the heart’s outer sac. This first resulted in a diagnosis of constrictive pericarditis. Doctors found primary pericardial mesothelioma after a CT scan and a biopsy.
Blood tests, X-rays and CT scans can rule out other conditions, but they can’t diagnose pericardial mesothelioma. A biopsy to collect tissue samples for laboratory analysis is needed.
How Can a Mesothelioma Misdiagnosis Affect You?
Misdiagnosing mesothelioma can lead to incorrect or delayed treatment. Mesothelioma is an aggressive cancer and delayed treatment can allow it to spread. The more advanced the cancer becomes, the more difficult it is to treat.
Misdiagnosis also increases the financial burden on mesothelioma patients and their families. Extensive testing before getting an accurate diagnosis can be costly. And incorrect treatments that often don’t help symptoms can also be very expensive.
In our 2025 survey of cancer patients, 14% of mesothelioma patients were originally misdiagnosed. This resulted in them being treated for the wrong condition and proper treatment being delayed.
Early detection and accurate diagnosis are essential to improving treatment outcomes. Dr. Jeffrey Velotta, thoracic surgeon and pleural mesothelioma specialist at Kaiser Permanente Oakland Medical Center in California, tells us, “If you can catch mesothelioma earlier on, the idea is you can intervene and do more treatment, whether it’s surgery, chemotherapy or immunotherapy. So the earlier we catch it, the more chance you have for living longer.”
How Do Specialists Diagnose Mesothelioma?
Specialists often begin the mesothelioma diagnostic process with imaging tests like X‑rays, CT scans and MRIs to look for fluid buildup or unusual growths. These tests provide important information and help rule out more common conditions, but they can’t confirm mesothelioma.
To confirm mesothelioma, doctors must take a biopsy. During this procedure, they remove a small piece of tissue or fluid, usually with a needle biopsy or minor surgery. A pathologist then examines the sample under a microscope. Biomarker tests such as those that identify BAP1 mutations or mesothelin levels can also support the diagnosis and help distinguish mesothelioma from other cancers.
Researchers are refining biomarker testing and studying noninvasive tools like breath analysis to improve early detection. For now, the most reliable path to an accurate diagnosis and treatment plan is seeing a specialist with experience in mesothelioma.
Initially misdiagnosed with a fibroid tumor, a laparoscopy revealed Tamron’s peritoneal mesothelioma. Her doctor’s unfamiliarity with mesothelioma led Tamron to seek a second opinion from specialist Dr. Levine. He offered clear options and hope. Tamron tells us a second opinion with an expert was a crucial step in her journey to becoming an 18-year mesothelioma survivor.
Getting a Second Opinion After a Mesothelioma Diagnosis
People who suspect they have mesothelioma should seek a mesothelioma second opinion from an expert. Once an experienced pathologist confirms a mesothelioma diagnosis, a specialist will develop a personalized treatment plan.
Mesothelioma survivor Kasie Coleman tells us that she experienced ongoing symptoms for more than a year and was repeatedly misdiagnosed. She was finally diagnosed with peritoneal mesothelioma in 2010.
Kasie says, “I really had to advocate for it and keep being persistent. I had to keep going back. Even after I received my 2 HIPEC treatments, they said there’s nothing else they can do. I tell people all the time, your prognosis is only as good as the last oncologist that diagnosed you.”
Some people also seek second opinions about their treatment, advocating for themselves to help extend their life expectancy. Our team of Patient Advocates can help you find the right mesothelioma specialist for you and schedule your appointment.
- A 2023 study showed 14% of mesothelioma diagnoses in developed countries are incorrect. While more than half of all mesothelioma patients in developing nations were misdiagnosed.
- Limited experience in diagnosing mesothelioma and a tendency to make a definitive diagnosis without sufficient evidence leads to many misdiagnoses.
Patients with a history of asbestos exposure and symptoms consistent with mesothelioma should consult a specialist to avoid both delay in diagnosis and misdiagnosis that could prolong access to life-saving treatment and affect their overall survival.
Common Questions About Mesothelioma Misdiagnosis
- Why is mesothelioma so difficult to diagnose?
-
Mesothelioma is a very rare cancer, which means few doctors have experience with it. Its symptoms are vague and like those of other, more common diseases, leading many doctors to initially misdiagnose someone with more common conditions. Further complicating matters, mesothelioma can develop decades after initial exposure to asbestos.
- What diseases or conditions mimic mesothelioma?
-
Diseases that mimic mesothelioma include pneumonia, emphysema and the flu. Other conditions also include gallstones, hernias, irritable bowel syndrome and ovarian cancer. Doctors say abdominal pain, digestive issues and heart disease may resemble mesothelioma. So may lupus, tuberculosis and other cancers.
- How can a mesothelioma diagnosis be confirmed?
-
A biopsy of the suspected tissue is the only way to confirm a mesothelioma diagnosis. A pathologist must then examine it. Doctors may also use imaging tests, like X-rays, CT scans and MRIs, to find any abnormalities. Blood tests for biomarkers can help diagnose mesothelioma.